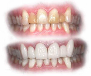
Những vết ố trên răng rất phổ biến ở thế giới hiện đại. Nhiều người giải quyết vấn đề gây bối rối này trong suốt cuộc đời họ. Những vết ố màu xám hay màu vàng không có tính thẩm mỹ này để lại ấn tượng không bao giờ phai. Răng của bạn luôn hiện hữu mọi lúc khi bạn nói hay cười. Người ta có thể nói nhiều về tính cách và về cách chúng ta chăm sóc cơ thể hay họ có thể lờ nó đi.

Một nụ cười đẹp sẽ làm cho việc hòa nhập với giao tiếp xã hội dễ dàng hơn. Việc sử dụng trà và cà phê thường xuyên, nhiều năm sử dụng thuốc lá và những lượt khám định kì ở nha sĩ không thường xuyên cùng việc vệ sinh răng miệng kém là tất cả những nhân tố đóng góp cho việc tăng lên những vết ố trên răng. Tuy nhiên, nó là một quá trình chậm, bạn phải chú ý đến sức khỏe của răng bên trong và cả bên ngoài để duy trì một nụ cười tươi sáng và tự tin. Kiểm tra những gợi ý của chúng tôi và xem cách loại bỏ những vết ố thế nào để luôn cảm thấy thoải mái trong mọi trường hợp.
1. Vệ sinh răng miệng hợp lý
Một trong những điều quan trọng nhất để có một nụ cười tuyệt vời là chú ý vào việc vệ sinh răng miệng thường xuyên. Vì vậy, việc chải răng ít nhất hai lần một ngày vào buổi sáng và buổi tối trước khi đi ngủ là một việc nên làm. Nếu răng của bạn bị xỉn màu hay bị ố rất nặng, chải răng sau mỗi bữa ăn là một bước chính để làm cho răng trắng hơn và khỏe hơn.
2. Bỏ thuốc lá

Hút thuốc là một trong những nguyên nhân chính gây cho răng có màu và bị ố. Thuốc lá là thứ tồi tệ nhất bạn có thể làm với hàm răng của mình. Hút thuốc gây ra những vế ố sau một thời gian những vết màu đen trên bề mặt răng bạn, để lại một diện mạo rất xấu và mất tính thẩm mỹ. Những chất màu trong thuốc lá thấm vào răng và gây nên những hủy hoại nghiêm trọng. Những người nghiện thuốc nặng có thể dễ dàng bị nhận thấy qua hàm răng bị xỉn màu của họ và vì vậy việc từ bỏ hút thuốc hay ít nhất là số lượng thuốc bạn tiêu thụ, là một trong những cách tốt nhất bạn có thể làm để duy trì sức khỏe và giữ cho hàm răng trắng sáng.
3. Sử dụng Baking Soda
Baking soda là phương pháp tẩy trắng răng tự nhiên và cổ xưa chống lại sự xỉn màu khó chịu và những vết ố một cách hiệu quả. Tuy nhiên chú ý khi sử dụng phương pháp này, nếu không bạn có thê gây nên những tổn thương nghiêm trọng đến vòm miệng của mình. Nhúng bàn chải trong nước, đặt vào một lọ thuốc đánh răng nhỏ và sau đó rắc baking soda lên đó. Đánh răng nhẹ nhàng. Những mẩu nhỏ trong baking soda sẽ làm sạch bề mặt răng và sau một vài ngày bạn sẽ nhận thấy răng bạn trắng hơn và ít những vết ố hơn.
Không cứ phải đi tẩy trắng răng bạn mới có được hàm răng như ý
4. Thêm nước chanh
Để phục hồi độ trắng cho răng, thêm vào một vài giọt nước chanh trên bàn chỉa và đánh răng cẩn thận. Tuy nhiên, nó đòi hỏi một thời gian nhất định để nhận thấy kết quả khả quan, nước chanh là một phương thuốc tự nhiên tuyệt vời không tốn kém cho việc loại bỏ những vết ố xấu xí trên răng.
5. Uống nước
Có một vài trường hợp khi bạn không thể đánh răng sau khi ăn, vì vậy luôn đảm bảo rằng bạn uống nước sau mỗi bữa ăn. Như một bước quan trọng trong việc ngăn ngừa vết ố, uống nước sau khi sử dụng soda, trà, cà phê và bất cứ đồ uống có đường nào khác là một cách tuyệt vời để chống lại sự bạc màu trên răng. Súc miệng một vài giây để đảm bảo những thức ăn còn trên đó và những đồ uống có đường sẽ không làm bề mặt trên răng bạn bị mất màu và ố.
Chỉ cần biết chăm sóc răng miệng khoa học là nụ cười sẽ vô cùng tươi xinh.
6. Sử dụng loại thực phẩm giòn
Thử đưa thêm những loại thức ăn như lê, táo, cà rốt hay cần tây vào bữa ăn hàng ngày của bạn xem sao? Một khi chúng được tách ra thành những miếng nhỏ, chúng bắt đầu cọ lên bề mặt răng, vì vậy loại bỏ những mảng bám xung quanh răng mà có thể gây nên những tổn thương và vết ố trên răng. Mẹo nhỏ này không cần gì ngoài sự chú ý nho nhỏ của bạn để bạn có thể sở hữu một nụ cười đẹp.
7. Kiểm tra răng miệng thường xuyên
Đến thăm nha sĩ định kì, ít nhất 6 tháng một lần để đảm bảo răng bạn trong điều kiện tốt. Nếu răng bạn bị phai màu, đen hay xỉn, hãy hỏi lời khuyên của bác sĩ về cách khắc phục những vấn đề đó. Những lần kiểm tra định kì ở nha sĩ rất quan trọng nếu bạn muốn duy trì sự trắng sáng tuyệt vời và sự khỏe mạnh của hàm răng.
Theo 24h





