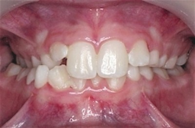
Cắn ngược hay cắn chéo là tình trạng răng dưới phủ ngoài răng trên. Hiện tượng này xảy ra khi răng hàm trên cắn vào bên trong răng hàm dưới. Cắn chéo răng trước là một loại sai khớp cắn phổ biến thường gặp ở trẻ em chiếm khoảng từ 7-10%, ảnh hưởng cả thẩm mỹ và chức năng nhai. Cắn chéo răng trước có thể xảy ra với một hay nhiều răng. Đặc biệt khi cắn chéo nhiều hơn 2 răng thì nguyên nhân thường là do xương. Điều trị cắn chéo răng trước ở trẻ em nên bắt đầu càng sớm càng tốt, sau khi được bác sĩ chuyên về chỉnh hình răng mặt phát hiện và chẩn đoán.

Với những trẻ cắn chéo răng trước dù là chỉ bị cắn chéo một răng cũng cần điều trị can thiệp sớm. Chỉnh hình răng mặt càng sớm, hiệu quả đạt được sẽ càng cao, sẽ thay đổi được thói quen xấu về miệng của trẻ như tật cắn môi, sẽ giúp cho cung răng, xương hàm và các cơ nhai của trẻ phát triển hài hòa với khuôn mặt thẩm mỹ hơn, nâng cao vẻ đẹp bề ngoài, tăng sự tự tin cho trẻ.
Điều trị sớm sẽ giúp điều chỉnh sự chênh lệch giữa xương hàm trên và xương hàm dưới, khớp cắn giữa hai xương hàm sẽ hài hòa hơn.
Nếu trẻ không được điều trị, khớp cắn của trẻ càng lúc càng phát triển theo hướng bất lợi có thể dẫn đến lệch lạc sai khớp cắn trầm trọng về sau. Nếu để đến thời điểm trẻ đã lớn, sẽ không thể điều trị được bằng chỉnh nha đơn thuần, mà phải dùng phương pháp chỉnh hình phẫu thuật phức tạp tốn nhiều thời gian và chi phí điều trị tốn kém nhiều.
Theo sức khỏe đời sống





