Hơi thở hôi không chỉ đơn giản là vì chưa biết cách vệ sinh miệng đúng cách mà có thể là dấu hiệu của bệnh viêm lợi, viêm quanh răng. Nếu không được điều trị kịp thời, bệnh sẽ gây mất răng, viêm khớp, viêm màng tim…

Hơi thở hôi nồng nặc – dấu hiệu của bệnh
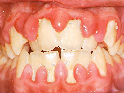
PGS.TS Trịnh Đình Hải, Viện trưởng Viện Răng Hàm Mặt quốc gia, cho biết, tỉ lệ người dân Việt Nam mắc các bệnh về răng miệng rất cao. Đặc biệt, bệnh viêm lợi, viêm quanh răng gây cho người bệnh hơi thở rất khủng khiếp và có tới trên 90% người dân bị các bệnh này từ mức độ nhẹ đến nặng. Chính những túi mủ quanh chân răng là nguyên nhân khiến hơi thở hôi, răng bị lung lay và “ổ vi khuẩn”.
“Ảnh hưởng sớm nhất người bệnh dễ dàng nhận thấy đó là hơi thổi hôi khiến họ rất thiếu tự tin trong giao tiếp, hoặc bị mọi người xa lánh. Nhưng ít người nghĩ hơi thở hôi là bệnh lý mà chỉ biết ra sức đánh răng, nhiều người ngày đánh răng 4-5 lần mà vẫn hôi. Chỉ khi thấy lợi đau, chảy máu quá nhiều khi đánh răng, thêm mùi tanh hôi thì mới đến bệnh viện. Lúc này, bác sĩ phải làm thủ thuật hút hết mủ, người bệnh mới thấy quanh răng, lợi bị lõm xuống vì viêm”, BS Hải nói.
Như trường hợp của chị N.T.T (35 tuổi, giáo viên ở tận vùng xa Lập Thạch, Vĩnh Phúc). Khi chị tới viện, quanh chân răng của chị đã có túi mủ. Chị kể, thời gian đầu, chị thấy miệng hôi hơn bình thường dù sau bữa ăn nào chị cũng đánh răng. Đến khi chồng nhắc nhở, chị mới “giật mình” nghĩ đến chuyện đi khám. Rất may bệnh chưa gây ra tổn thương trầm trọng ở răng nên việc điều trị cũng đơn giản hơn.
BS Hải cho biết, bệnh viêm quanh răng tiến triển thầm lặng. Khởi đầu, người bệnh chỉ cảm thấy miệng hôi hơn bình thường, đánh răng rất nhiều nhưng miệng vẫn hôi. Khi đánh răng thấy lợi rỉ máu, núm lợi to hơn và bong ra khỏi cổ răng, nhìn rõ khe lợi không ôm sát vào cổ răng như bình thường. Những trường hợp nặng khi ấn vào dưới lợi của từng nhóm răng, thấy có mủ vàng xanh, vàng bệch đùn lên…
Theo nhakhoa212





