Khi răng khôn gây ra hoặc có xu hướng gây ra tác hại đối với răng, lợi và xương ở xung quanh thì cần nhổ.

1. Sâu răng
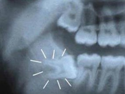
Do răng khôn ở trong cùng của hàm nên rất khó vệ sinh, thức ăn và vi khuẩn dễ dàng tích tụ, đặc biệt là ở những răng chỉ mọc lên được một phần hoặc mọc lệch, đâm vào răng bên cạnh. Sự tích tụ này lâu ngày gây sâu răng. Đau đớn và nhiễm trùng có thể xảy ra.
2. Viêm lợi
Sự tích tụ của thức ăn và vi khuẩn ở răng khôn gây ra viêm nhiễm vùng lợi xung quanh, dẫn đến triệu chứng: sưng, đau, hôi miệng và đôi khi cứng hàm (bệnh nhân không thể mở miệng to được). Bệnh viêm lợi này tái phát nhiều lần chừng nào răng khôn chưa được chữa trị, và càng ở những lần tái phát sau mức độ nguy hiểm càng cao.
3. Huỷ hoại xương và răng xung quanh
Khi răng khôn mọc đâm sang răng bên cạnh, nó sẽ làm răng đó bị tiêu huỷ, lung lay, nhiều khi gây sâu răng, và cuối cùng là rụng răng. Triệu chứng sớm của việc mọc lệch này là những cơn đau âm ỉ ở khu vực đó.
Trong một số truờng hợp khi những bất thường của răng khôn không được chữa trị kịp thời, nhiễm trùng lây lan sang các khu vực xung quanh như mang tai, má, mắt, cổ … gây nguy hiểm đến tính mạng.
Theo Wikipedia





