
Nếu không được điều trị, bệnh sâu răng có thể gây các biến chứng như viêm tủy răng, viêm quanh chóp răng… với các cơn đau dữ dội. Sâu răng còn có thể gây viêm hạch, viêm tủy xương, thậm chí gây nhiễm trùng huyết…
Chẩn đoán sâu răng thường dựa vào các triệu chứng:
Khi chưa thấy lỗ sâu : thấy đốm trắng đục, mờ như phấn ( khi thổi khô răng ), chưa có lỗ sâu. Ở giai đoạn này, bệnh nhân không phát hiện được bệnh sâu răng . Tuy nhiên, giai đoạn này, các biện pháp vệ sinh răng miệng và phòng ngừa vẫn còn hiệu quả.
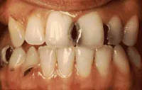
Nhìn thấy lỗ sâu: Thường là thương tổn men và ngà răng. Nếu dùng dụng cụ nạo ngà, lấy hết vụn bẩn thức ăn trong lỗ sâu, sẽ thấy đáy lỗ sâu rộng hơn miệng lỗ .( Cần lưu ý : khi đã nhìn thấy lỗ sâu trên bề mặt thân răng, thì đây là giai đoạn muộn của quá trình bệnh sâu răng, cần phải chữa trị kịp thời để tránh gây những hậu quả nghiêm trọng )
Đau buốt thoáng qua khi có kích thích: Khi có kích thích tác động lên răng như : thức ăn lọt vào lỗ sâu, khi ăn thức ăn hay uống nóng, lạnh, ngọt…, bệnh nhân sẽ đau buốt ; khi loại bỏ các tác nhân kích thích thì sẽ hết đau. Ở gai đoạn này, đã có có triệu chứng của viêm tủy có khả năng hồi phục .
Nếu thấy răng có lỗ sâu và có những cơn đau tự phát, đau thành cơn kéo dài nhiều phút rồi dịu dần thì đó là dấu hiệu nhiễm trùng tủy răng. Lúc này, cần phải có sự can thiệp kịp thời của Bác sĩ chuyên khoa răng hàm mặt.
Để điều trị sâu răng khi chưa có triệu chứng viêm tủy, cần lấy sạch mô răng bệnh, ngà vụn, sát khuẩn lỗ sâu và trám kín xoang ( lỗ ) sâu. Bác sĩ răng hàm mặt sẽ chọn vật liệu thích hợp ( Amalgam, Composite, GIC…) đẻ trám lỗ sâu, dựa theo vị trí của răng, vị trí của lỗ sâu trên thân răng, mức độ sâu và khả năng tài chính của từng bệnh nhân.
Để phòng ngừa bệnh sâu răng, không nên ăn vặt, nhất là thức ăn có chứa đường. Ăn nhiều thức ăn có nhiều chất xơ như rau, bắp, cam, táo…
Cần có một chế độ ăn uống đầy đủ chất và thích hợp, đặc biệt là cung cấp đầy đủ canxi và vitamin cho người mẹ đang mang thai và trẻ em để chống còi xương, suy dinh dưỡng vì điều này ảnh hưởng tới sự phát triển của răng. Vitamin D, fluor là chất vi lượng rất quan trọng để nâng cao chất lượng tổ chức cứng của răng.
Về vệ sinh răng miệng, cần chải răng đúng cách với kem chứa fluor, tốt nhất là sau mỗi bữa ăn. Đi khám định kì và làm sạch răng ( lấy vôi răng ) 6 tháng/lần.
Theo nha khoa tham my





