
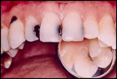
Người ta cho rằng có 4 nhân tố như một chuỗi liên hoàn gây ra sâu răng là vi khuẩn, thức ăn, răng của từng người và thời gian.
Vi khuẩn gây sâu răng là các vi khuẩn bám vào mặt răng và có khả năng gây sâu răng, chúng sản sinh và tiết ra chất hữu cơ, polyore, enzyme thủy phân chất lòng trắng trứng (một thành phần trong nước miếng), những chất đó có thể hòa tan chất hữu cơ và phân hủy chất vô cơ của kết cấu răng. Các vi khuẩn này bám vào răng hình thành các đốm khuẩn, đến lượt các đốm khuẩn này phát triển tấn công răng.
Khả năng chống sâu của răng tùy thuộc vào trạng thái kết cấu của răng. Hàm răng không bị sứt mẻ, không khiếm khuyết, mọc thẳng hàng, thẳng lối, men răng trắng bóng, mức khoáng hóa răng cao là những yếu tố quan trọng chống lại các tác nhân gây sâu răng. Ngược lại, các yếu tố này không hoàn chỉnh thì nguy cơ sâu răng là rất lớn.
Sự gây ra sâu răng của thức ăn được nhắc đến nhiều nhất là đường, là cơ sở quan trọng để vi khuẩn bám vào đó sinh sôi nảy nở, nhất là ăn nhiều đường, ăn đồ ngọt, không đánh răng trước khi đi ngủ. Các gợn thức ăn còn bám vào các kẽ răng, nếu không đánh răng thường xuyên, hoặc/và không lấy cao răng định kỳ cũng sẽ làm môi trường thuận lợi cho vi khuẩn gây sâu răng phát triển.
Quá trình từ răng mới sâu đến khi hình thành lỗ sâu phải trải qua một thời gian, nhanh hay chậm tùy thuộc vào sự vệ sinh, khả năng chống sâu của từng người và cũng phụ thuộc mức độ vi khuẩn nhiều hay ít. Người ta cho rằng từ lúc xuất hiện các đốm răng cho đến khi hình thành lỗ sâu có thể đến 1,5 năm, trong thời gian đó rất cần được điều trị kịp thời.
Theo Sức Khỏe Đời Sống





