Nha Khoa Việt Mỹ

Tìm hiểu về các loại răng sứ

NHA KHOA VIỆT MỸPhường Bảy Hiền
Địa chỉ: 85 Ni Sư Huỳnh Liên, Phường Bảy Hiền (P.10, Q. Tân Bình), TP. HCM
Hotline: 090 809 3439

Thẩm mỹ răng sứ là phương pháp làm răng đẹp lại hiệu quả về cả chất lượng lẫn độ thẩm mỹ. Có rất nhiều loại răng sứ khác nhau. Vậy các loại răng sứ này khác nhau như thế nào?

Răng sứ được làm bởi lớp sườn ở bên trong và lớp sứ ở bên ngoài. Răng sứ có thể được chia thành 2 loại cơ bản: là răng sứ kim loại và răng toàn sứ.

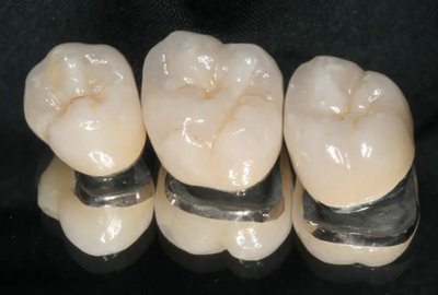
1. Răng sứ – kim loại:

Được cấu tạo bởi 2 phần: phần kim loại bên trong và phần sứ phủ bên ngoài. Nhược điểm của loại răng sứ này là dễ bị đổi mài thậm chí có thể gây dị ứng. Ưu điểm là giá thành tương đối rẻ.

Các loại kim loại dùng làm răng sứ bao gồm:

· Hợp kim Niken-Crom hay còn gọi là răng sứ Ni-Cr : có ưu điểm là chi phí tiết kiệm. Tuy nhiên, Niken có thể gây dị ứng với một số người. Giá tham khảo: 1.000.000 đ/ răng.

· Hợp kim Coban-Crom: do không có Niken, loại hợp kim này ít gây dị ứng. Giá tham khảo: 1.500.000 đ/ răng.

· Hợp kim Niken-Crom-Titan: thường được gọi là răng sứ titan. Titan làm cho răng sứ trở nên nhẹ hơn, nhất là với trường hợp cầu răng dài. Tuy nhiên, bạn cần lưu ý titan chiếm bao nhiêu phần trăm trong hợp kim, vì hiện nay, trên thị trường có thể dùng tên gọi răng sứ titan nhưng titan chỉ chiếm tỉ lệ rất thấp là 6%. Giá tham khảo: 2.200.000 – 2.500.000 đ/ răng.

· Hợp kim quý: thường được gọi là răng sứ quý kim, với các thành phần chính là vàng, platin, palladium… Hợp kim quý hạn chế sự dị ứng và đổi màu của răng sứ. Giá tham khảo: 4.000.000 đ/ răng.

rangkimloai
Hình: răng sứ – kim loại

2. Răng toàn sứ:

Chất liệu hoàn toàn bằng sứ có màu sắc trong, đẹp tự nhiên, không bị đổi màu và không gây dị ứng, đó là những ưu điểm của răng toàn sứ so với răng sứ kim loại. Răng toàn sứ có các thương hiệu phổ biến là Cercon, Emax, nên thường được các nha khoa giới thiệu với tên gọi răng sứ Cercon, răng sứ Emax…

rangtoansu 1
Hình: răng toàn sứ có màu sắc trong, đẹp tự nhiên

Mới nhất hiện nay là loại răng toàn sứ được làm bằng máy tính, còn gọi là công nghệ CAD/CAM (computer aided design/ computer aided manufacture). Loại răng sứ này có độ chính xác, thẩm mỹ cao. Sườn được làm bằng zirconia là vật liệu công nghệ cao đã được dùng trong tàu vũ trụ, làm khớp nhân tạo trong y học…, có độ bền và chịu lực rất tốt. Với những ưu điểm trên, răng toàn sứ đang là sự lựa chọn phổ biến.

Giá tham khảo: 2.500.000 – 4.000.000 đ/ răng.

Cái bài liên quan: