
Bảo vệ răng sau bữa ăn – Trám răng, trồng răng sứ thẩm mỹ
Công việc bận rộn khiến bạn phải làm quen với những bữa ăn nhanh, và hậu quả là hàm răng của bạn ngày càng xỉn đi trông thấy. Vậy thì hãy
Những thông tin tin tức Nha Khoa Thẩm Mỹ Việt Mỹ được tổng hợp đầy đủ sẽ giúp quý khách hàng có thể tìm hiểu chi tiết về các chương trình khuyến mãi, thông báo hay tin tức tuyển dụng… để khách hàng có thể hiểu rõ hơn về các hoạt động của nha khoa.

Công việc bận rộn khiến bạn phải làm quen với những bữa ăn nhanh, và hậu quả là hàm răng của bạn ngày càng xỉn đi trông thấy. Vậy thì hãy

Trà, cà phê Việc thường xuyên uống trà khô có thể gây ra sự ố vàng trên răng. Điều này là do lượng tannin lớn có trong trà khô, thúc đẩy

Một số răng khôn phát triển mà không có bất kỳ vấn đề. Chúng thường bị mắc kẹt trong nướu răng, xương hàm. Mọc răng khôn dẫn đến đau khi chúng

Khi tất cả mọi chuyện đau buồn đổ lên đầu bạn, hãy mỉm cười để đón nhận nó, vì chỉ có như thế, bạn mới có thêm dũng khí để bước

1. Nướu (lợi) sưng và chảy máu Thông thường triệu chứng này gắn liền với bệnh viêm lợi hoặc viêm vùng chân răng. Tuy nhiên theo tiến sĩ Susan Savage, chủ

Trong một lần đùa nghịch, Tít bị ngã đập mắt xuống sàn nhà và gẫy mất chiếc răng cửa. Từ đó đến giờ, cứ Nói chuyện nhổ răng, Tít lại Khóc

Các nhà nghiên cứu nhận thấy kem đánh răng có chứa lượng florua ít hơn 1/1.000 sẽ có hiệu quả ngừa sâu răng như các loại kem đánh răng không có

Hội chứng sâu răng do bú bình là gì? Hội chứng sâu răng do bú bình là một tình trạng sâu răng sớm nhiều răng, thường gặp ở các trẻ nhỏ

Dưới đây là 4 thói quen vô tình không tốt cho sức khỏe mà chúng ta nên tránh. Thường xuyên rửa chân tay Theo bác sĩ tư vấn và bác sĩ

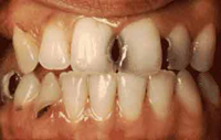
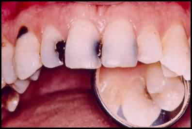
Nếu không được điều trị, bệnh sâu răng có thể gây các biến chứng như viêm tủy răng, viêm quanh chóp răng… với các cơn đau dữ dội. Sâu răng còn

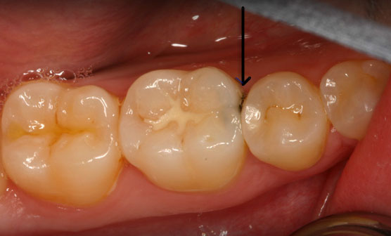
Không phải trám răng là chấm dứt, là hết sâu răng, một số đông bệnh nhân thường nghĩ là trám răng là sẽ hết sâu răng. Thực ra trám răng chỉ

Người ta cho rằng có 4 nhân tố như một chuỗi liên hoàn gây ra sâu răng là vi khuẩn, thức ăn, răng của từng người và thời gian. Vi khuẩn