
Đánh răng quá kỹ sẽ hại răng – Trám răng, trồng răng sứ thẩm mỹ
Ít ai ngờ có lúc chính vì quá kỹ mà làm hại răng. Đó là trường hợp của người có thói quen đánh răng ngay sau khi ăn món gì chua
Những thông tin tin tức Nha Khoa Thẩm Mỹ Việt Mỹ được tổng hợp đầy đủ sẽ giúp quý khách hàng có thể tìm hiểu chi tiết về các chương trình khuyến mãi, thông báo hay tin tức tuyển dụng… để khách hàng có thể hiểu rõ hơn về các hoạt động của nha khoa.

Ít ai ngờ có lúc chính vì quá kỹ mà làm hại răng. Đó là trường hợp của người có thói quen đánh răng ngay sau khi ăn món gì chua

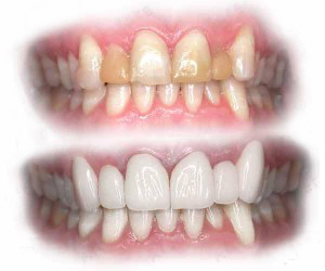
Những vết ố trên răng rất phổ biến ở thế giới hiện đại. Nhiều người giải quyết vấn đề gây bối rối này trong suốt cuộc đời họ. Những vết ố

Hiệp hội Bảo vệ người tiêu dùng EU đã cảnh báo rằng chất triclosan trong kem đánh răng có thể làm phát tán các vi khuẩn kháng sinh có thể đe

Một số thống kê cho thấy, có khoảng 20% dân số bị nhiệt miệng thường xuyên. Nhiệt miệng không phải là một bệnh nặng nhưng gây khó chịu, đau đớn, bất

Răng sữa (RS) có vai trò rất lớn trong sự sinh trưởng và phát triển của trẻ. Do mọc sớm nên RS rất dễ bị bào mòn. Thế nhưng, nhiều bậc

Những chiếc răng sữa đầu tiên của bé mọc vào lúc bé được khoảng 6 tháng tuổi, và bé có đủ 20 chiếc răng sữa khi được khoảng hai đến hai

Chấn thương răng là một tình trạng cấp cứu rất hay gặp ở khoa răng trẻ em, các phòng khám răng hàm mặt và bệnh viện. Nhiều người nghĩ rằng, răng

Chấn thương răng là một tình trạng cấp cứu rất hay gặp ở khoa răng trẻ em, các phòng khám răng hàm mặt và bệnh viện. Nhiều người nghĩ rằng, răng

Răng sữa có vai trò rất lớn trong sự sinh trưởng và phát triển của trẻ. Do mọc sớm nên răng sữa rất dễ bị bào mòn. Thế nhưng, nhiều bậc

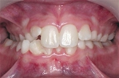
Cắn chéo nguyên nhân do răng – Do các răng cửa vĩnh viễn của trẻ mọc bất thường. – Sau chấn thương, các răng cửa sữa làm dịch chuyển các mầm

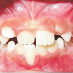
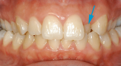
Cắn ngược hay cắn chéo là tình trạng răng dưới phủ ngoài răng trên. Hiện tượng này xảy ra khi răng hàm trên cắn vào bên trong răng hàm dưới. Cắn

Ít khi có chỉ định điều trị cắn chéo răng trước ở hệ răng sữa vì hiếm khi các răng sữa chen chúc trầm trọng ở hệ răng sữa. Việc điều