
Điều trị răng ê buốt – Trám răng, trồng răng sứ thẩm mỹ
Tùy theo kết quả chẩn đoán, nha sĩ có thể đề nghị một hay nhiều phương pháp điều trị dưới đây để làm giảm nhẹ các triệu chứng của tình trạng
Những thông tin tin tức Nha Khoa Thẩm Mỹ Việt Mỹ được tổng hợp đầy đủ sẽ giúp quý khách hàng có thể tìm hiểu chi tiết về các chương trình khuyến mãi, thông báo hay tin tức tuyển dụng… để khách hàng có thể hiểu rõ hơn về các hoạt động của nha khoa.

Tùy theo kết quả chẩn đoán, nha sĩ có thể đề nghị một hay nhiều phương pháp điều trị dưới đây để làm giảm nhẹ các triệu chứng của tình trạng

Cấu tạo của răn gồm ba phần: lớp men răng, lớp ngà và tủy răng. Khi lớp men răng bị mài mòn làm lộ lớp ngà răng dẫn tới ngà răng

Bệnh nướu răng là một trong những bệnh hàng đầu đưa đến tình trạng rụng răng ở những người trưởng thành. Cách tốt nhất để phòng bệnh nướu răng là hằng

Bệnh nướu răng là một trong những bệnh hàng đầu đưa đến tình trạng rụng răng ở những người trưởng thành. Nguyên nhân chính gây bệnh nướu răng là do một

Ða số mọi người mắc bệnh nướu răng đều không cảm thấy đau đớn gì cả và vì vậy bệnh cứ tiến triển mà quý vị không hay biết gì cả.

Men răng cứng và bao gồm nhiều thanh khoáng chất nhỏ khít nhau. Khi bạn ăn, chất axít hình thành ở bề mặt răng và thấm qua các thanh men này.

Dụng cụ bảo vệ hàm là một dụng cụ được làm bằng nhựa dẻo cho người chơi thể thao hoặc các hoạt động tiêu khiển đeo nhằm bảo vệ răng tránh

Tìm hiểu cấu tạo của răng và các mô nâng đỡ răng sẽ giúp chúng ta có một cái nhìn tổng quan về răng cùng những yếu tố có ảnh hưởng

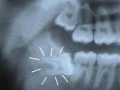
Khi răng khôn gây ra hoặc có xu hướng gây ra tác hại đối với răng, lợi và xương ở xung quanh thì cần nhổ. 1. Sâu răng Do răng khôn

Răng khôn là răng nằm phía trong cùng của hai hàm răng của người trưởng thành. Răng khôn (răng số tám hay răng hàm lớn thứ ba) là răng mọc cuối

Đau đầu, sưng lợi, khó nhai,… là hệ quả do việc mọc răng khôn đem lại. Để giảm bớt những phiền toái này, bạn hãy tham khảo gợi ý dưới đây

Rất nhiều bậc cha mẹ vì sợ con đói nên nửa đêm nhét bình sữa vào miệng cho trẻ vừa bú vừa ngủ. Theo Ths.BS Nguyễn Quốc Dũng, Phó Trưởng khoa