
Cách phòng ngừa bệnh sâu răng – Trám răng, trồng răng sứ thẩm mỹ
Ta đã biết các yếu tố gây sâu răng là: vi khuẫn + đường + men R. 3 yếu tố trên tạo thành một mắc xích. Nếu muốn tiêu diệt sâu
Những thông tin tin tức Nha Khoa Thẩm Mỹ Việt Mỹ được tổng hợp đầy đủ sẽ giúp quý khách hàng có thể tìm hiểu chi tiết về các chương trình khuyến mãi, thông báo hay tin tức tuyển dụng… để khách hàng có thể hiểu rõ hơn về các hoạt động của nha khoa.

Ta đã biết các yếu tố gây sâu răng là: vi khuẫn + đường + men R. 3 yếu tố trên tạo thành một mắc xích. Nếu muốn tiêu diệt sâu

Khi bệnh nhân đến khám răng, trên phiếu khám thường có sơ đồ răng để ghi lên đó chẩn đoán, kế hoạch điều trị và số răng sẽ làm. Khi đó

Cơ Thể Học Nha (Dental Anatomy) Răng đứng vững trong xương hàm là nhờ xương ổ răng (alveolar bone), nhưng răng không dính chặc vào xương hàm mà được ngăn cách

Cấu trúc của răng có nhiều lớp, từ ngoài vào trong: * Men răng (enamel): là lớp ngoài cùng có độ dầy mỏng tùy theo mặt răng, Mặt nhai của răng

Những vai trò và chức năng của răng – Răng có chức năng thẩm mỹ, một hàm răng đẹp và khoẻ mạnh sẽ làm tăng vẻ đẹp của khuôn mặt, làm

Ở loài người chỉ có 2 hệ răng đó là hệ răng sữa (milk teeth, deciduous dentition) và hệ răng vĩnh viễn (permanent dentition). – Răng sữa bắt đầu mọc ở

Các bậc phụ huynh thường hay nhầm lẫn răng vĩnh viễn với răng sữa, dẫn tới sai lầm là răng sâu thì cứ nhỗ rồi răng khác sẽ mọc lên thay

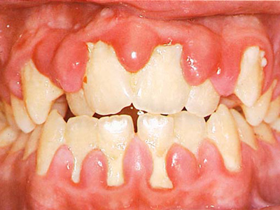
Viêm lợi có 2 dạng chủ yếu: – Viêm lợi cục bộ: Chứng viêm này không gây quá đau đớn cho người bệnh nhưng rất dễ tái phát. – Viêm cận

Hơi thở hôi không chỉ đơn giản là vì chưa biết cách vệ sinh miệng đúng cách mà có thể là dấu hiệu của bệnh viêm lợi, viêm quanh răng. Nếu

Một số nguyên nhân thường gặp dẫn đến bệnh viêm loét miệng: – Áp lực lớn do công việc và tinh thần căng thẳng khiến cho chức năng miễn dịch bị

Trong giai đoạn mọc răng, nhiều bé có dấu hiệu sốt kèm theo tiêu chảy nhẹ. Bé còn thích nhai ngón tay hoặc bất kỳ vật nào ở xung quanh. Khoảng

Thường các bậc cha mẹ hay thấy con trẻ nghiến răng khi ngủ. Thực tế đây là một mối đe dọa nguy hiểm đối với răng của bé. Nghiến răng có